6 czerwca 2023 roku miał być jednym z tych dni, które zapamiętuje się na długo w najlepszym możliwym sensie. Finałowy przystanek Pucharu Świata GKA w Big Air – największa impreza sezonu, najwyższy poziom, adrenalina, forma. Zamiast tego był lot z około 12 metrów po niekontrolowanym double loopie i twarde zderzenie z rzeczywistością. Dosłownie.
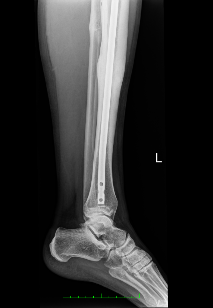
Jeszcze tego samego dnia w Hiszpanii przeszłam operację złamanej piszczeli i strzałki – leczenie z użyciem gwoździa śródszpikowego. Wszystko potoczyło się bardzo szybko. Po ośmiu dniach wróciłam do Polski i niemal prosto z lotniska trafiłam do MotionClinic. Wtedy nie myślałam o sporcie. Chciałam po prostu znowu normalnie stanąć na nodze.
Początki były bardzo spokojne. Praca z bólem, obrzękiem, bliznami pooperacyjnymi. Delikatne uruchamianie, mobilizacja tkanek, drenaż, nauka ponownego obciążania nogi. Po trzech tygodniach zrobiłam pierwsze niepewne kroki o kulach. Po pięciu – już bez nich. Każdy mały postęp był ważny, nawet jeśli z boku wyglądał niepozornie.
Pierwszy powrót na wodę nastąpił po czterech miesiącach, w Egipcie. Pamiętam, że po sesji siedziałam na brzegu i płakałam – ze szczęścia. To było bardzo zachowawcze pływanie, niskie skoki, proste rotacje, ale dla mnie miało ogromne znaczenie. Po pięciu–sześciu miesiącach zaczęłam pozwalać sobie na mocniejsze próby, skoki w okolicach 10 metrów. I wtedy pojawiła się konieczność drugiej operacji – korekty, bez której dalsza rehabilitacja nie miałaby sensu.
Po dziewięciu miesiącach od wypadku wróciłam do freestyle’u. Nadal z bólem, z dużą ostrożnością i pytaniem w głowie, czy jeszcze kiedyś będę w stanie trenować naprawdę mocno. Sesje były krótkie, często nie dłuższe niż 45 minut. Czasem bardziej mentalnie wyczerpujące niż fizycznie.
Po półtora roku od wypadku wystartowałam w Pucharze Świata freestyle w Brazylii. Pierwsze zawody po złamaniu. Piąte miejsce. Dla wielu „poza podium”, dla mnie dowód, że wracam. Że to wszystko miało sens.
Przez cały ten czas w MotionClinic praca nie kończyła się na samej nodze. Z czasem wchodził coraz bardziej ukierunkowany trening motoryczny, dostosowany do realnych obciążeń w kitesurfingu: lądowań, rotacji, przeciążeń jednostronnych. Gdy wróciłam na wodę, wszystko było na bieżąco monitorowane – cele na dany trening, kontrola objętości, regeneracja, masaże sportowe. Bez pośpiechu, ale konsekwentnie.
Dziś, ponad dwa lata po wypadku, noga nie boli i nie ogranicza mnie w żaden sposób. W sezonie 2025 wystartowałam we wszystkich przystankach GKA World Cup, zajęłam 4. miejsce na świecie i 1. w Polsce. Co ciekawe – ten długi proces pozwolił mi nadrobić elementy, na które wcześniej nigdy nie było czasu. Fundamenty, detale, rzeczy, które teraz procentują.
Patrząc z perspektywy czasu, nie była to tylko walka o powrót do sportu. To była nauka cierpliwości, zaufania do procesu i ludzi, którzy prowadzą cię wtedy, gdy sama masz wątpliwości. Dziś wiem, że da się wrócić naprawdę mocno – nawet z bardzo trudnego miejsca.







